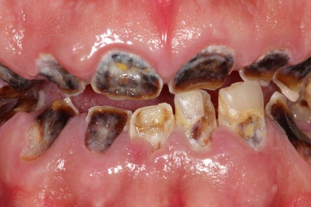
32-річний Майкл Шерідан випивав по шість літрів солодкої газованої води в день і через це позбувся практично всіх зубів.
Як повідомляє The Sun, йому довелося видалити 27 гнилих повністю зубів і замінити їх протезами.
Останнім часом чоловікові доводилося їсти тільки рідку їжу, так як його переслідувала постійна зубний біль.
Стоматолог і друг Майкла був настільки шокований станом чоловіки, що вирішив допомогти йому безкоштовно і провів операцію, вартістю 50 тис. Євро (1 млн 769 тис. Гривень).
“Я був залежний від газованих напоїв. Я випивав шість літрів або більше в день. У мене завжди була пляшка газованої води в руці”, – говорить Майкл.
“Я знав, що якби я пішов до дантиста, мені довелося б припинити пити газовані напої, і я не хотів цього робити. Я також знав, що всі мої зуби повинні будуть видалити, і я не міг дозволити собі це фінансово”, – додає Майкл.



Його друг-стоматолог Девід Морган був настільки стурбований здоров’ям приятеля, що запропонував свої послуги безкоштовно: “Я знав, що його зуби є серйозною загрозою для його здоров’я. Він не міг правильно пережовувати свою їжу, він не міг вкусити навіть бутерброд, як більшість людей , і кожен день йому було боляче “.
Солодкі напої придушували апетит і Майкл харчувався йогрутом один раз в день.
Після процедури видалення Девід вставив зубні протези пацієнту, щоб дати час зажити ясен Майкла. У квітні йому встановлять імпланти, а також мости.
З тих пір Майкл не вживає солодку газовану воду. У цьому йому допомагають психологи і дієтологи.
Матеріал взято: obozrevatel.com
Додати коментар